EL COS HUMÀ |
| |
|
| |
L'APARELL DIGESTIU (nivell 3) |
 |
|
1. L'APARELL DIGESTIU |
|
L'aparell digestiu realitza la digestió. La digestió és la transformació dels aliments en substàncies que el cos pot assimilar. |
|
|
|
|
|
2. EL TUB DIGESTIU |
El tub digestiu comença a la boca i acaba a l'anus. Està format per:
a) la boca: és per on entren i on masteguem els aliments.
b) la faringe: és el tub que va des de la boca fins a l'esòfag.
c) l'esòfag: és un tub llarg; hi passen els aliments de la faringe fins a l'estómac.
d) l'estómac: és on els aliments es transformen i té forma de bossa.
e) l'intestí prim: és un tub llarg i prim on els aliments es barregen amb els sucs que fabriquen els pàncrees i el fetge.
f) l'intestí gros: és més ample i curt; hi passen els residus que fem fora del cos per l'anus.
|
|
1- boca
2- esòfag
3- estómac
4- intestí prim
5- intestí gros
6- fetge
7- pàncrees |
|
|
|
|
LA BOCA |
A la boca hi trobem:
- les dents
- la llengua
- les glàndules salivals
|
|
|
|
|
|
|
LES DENTS |
|
|
Tenim 32 dents que tallen i trituren els aliments.
|
|
|
No totes les dents són iguals. En trobem de 4 formes diferents: incisives, canines, premolars i molars o queixals.
|
Les dents tenen formes diferents perquè tenen funcions diferents:
- les incisives TALLEN
- les canines ESQUINCEN
- les molars i premolars TRITUREN I MOLEN
|
|
|
|
LA LLENGUA |
|
|
|
La llengua és un múscul que mou els aliments perquè es puguin rosegar millor.
La llengua ajuda a empassar els aliments.
A la llengua hi trobem les papil·les gustatives que ens permeten diferenciar els sabors: dolços (sucre, pastissos...), salats (sal, carn, peix...), àcids (llimona...) i amargs (cafè, carxofa...). |
|
|
|
LES GLÀNDULES SALIVALS |
|
|
|
Les glàndules salivals produeixen la saliva. La saliva ajuda a barrejar i mastegar millor els aliments. |
|
|
|
LA FARINGE |
|
Per la faringe passa l'aire per respirar i també hi passen els aliments. Els aliments passen de la boca a la faringe i després a l'esòfag. |
|
|
|
L'ESÒFAG |
|
|
|
L'esòfag és un tub que, amb uns moviments, fa passar els aliments des de la boca fins a l'estómac. |
|
|
|
L'ESTÓMAC |
|
|
|
L'estómac té forma d'una bossa amb dues obertures, una que connecta amb l'esòfag i l'altra amb l'intestí prim.
A l'estómac se segrega el suc gàstric, que és un líquid que ajuda a la digestió dels aliments.
Les parets de l'estómac fan uns moviments que faciliten la barreja dels aliments amb els sucs gàstrics i així es converteix en un líquid espès que passa a l'intestí prim. |
|
|
|
L'INTESTÍ PRIM |
|
|
|
L'intestí va des de l'estómac fins a l'intestí gros.
És un tub prim i molt llarg.
Fa uns 7 metres de llargada i està molt cargolat.
A l'intestí prim es continua fent la digestió.
Les substàncies nutritives travessen les parets de l'intestí prim i passen a la sang per portar el nutrients a tot el cos. |
|
|
|
L'INTESTÍ GROS |
|
|
|
L'intestí gros és l'últim tros de l'aparell digestiu.
És un tub ample i més curt que el prim.
Fa un 1 metre i mig de llargada.
Per les seves parets el cos recupera líquid.
L'anus és a la part final i es comunica amb l'exterior.
Els residus sòlids s'expulsen per l'anus. |
|
|
3. LES GLÀNDULES DIGESTIVES
|
| |
Les glàndules salivals fan la saliva. |
|
|
Les glàndules gàstriques estan situades a l'estómac i produeixen els sucs gàstrics. |
|
|
El fetge és la glàndula més grossa del nostre cos. És situat a la banda dreta del ventre. El suc que segrega s'anomena bilis. |
|
|
El pàncrees és una glàndula rosada situada sota l'estómac. Segrega el suc que va a parar, junt amb la bilis, al començament de l'intestí prim. |
|
|
Les glàndules intestinals són a l'intestí prim i produeixen els sucs intestinals. |
|
|
|
4. ELS ALIMENTS |
|
Els aliments són com la benzina del nostre cos. Gràcies als aliments podem fer moltes activitats: caminar, córrer, saltar, pensar... I a més, ajuden a créixer. |
|
|
|
|
5. CURA DE L'APARELL DIGESTIU |
Hem de :
- rentar-nos les mans abans de cada àpat
- menjar a poc a poc
- mastegar bé
- menjar amb moderació i variat
- fer una dieta equilibrada, rica en fibra (fruita, verdura, cereals i llegums)
- no fer esforços físics ni banyar-nos durant les 2 o 3 hores després de menjar
- menjar en espais i ambients relaxats
- no menjar massa dolços ni aliments ensucrats
- raspallar-nos les dents després de cada àpat
|
|
|
|
|
|
6. CONSELLS PER TENIR CURA DE LES NOSTRES DENTS
|
|
|
raspallar-nos bé les dents després de cada àpat |
|
|
anar al dentista per fer revisions |
|
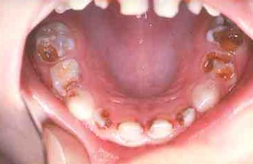
7. MALALTIES |
|
Les càries són una malaltia de les dents que les corca i les destrueix. |
|
|
|
|
|